Patología
35/79
La ventriculomegalia

La holoprocensefalia

Indicaciones del cráneo

La adultez de la prolactina con trastornos endócrinos y de fertilidad0

El misterio de la glándula pituitaria o SIGNO DE LA PIEDRA DEL ZAPATO

La sirenomelia

Protocolo Básico de craneo en RM SIEMENS

Generalidades de Tomografía Computada

La concepción de la radiografía

Signo de organodependencia

Otros signos clandestinos

Signos vasculares

Mas signos de miembro inferior

variaciones de las extremidades

Pelvis y miembros inferiores

Otros signos de columna

Espondilolisis

Espondilitis anquilosante

Columna traumática

Vejiga

Otros signos del Riñón

Riñón anillo, bordes y halos

Otros signos del abdomen

Colon y Obstrucción del colon

INTESTINO DELGADO, OBSTRUCIÓN Y ENFERMEDAD DE CHRON

Estómago

Esófago

Vesícula y via bilar

Higado

Neumoperitoneo

Ascitis

Demás, pleura diafragma y pared

patología pleural

Neumotórax

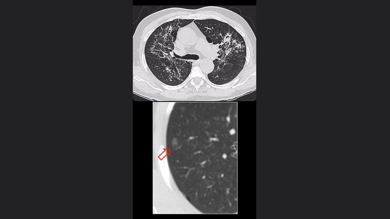
Nódulos

Generalidades de la atelectasia

Patrón intesticial

Pulmón en lesión alveolar

Arbol Vascular

Hilios Pulmonares

otros signos del mediastino

Corazón y Aorta

mediastino a neumomediastino

Signos patológicos de la calabera

0 Signo de trombosis venosa

signos de Infarto o isquemia arterial

La clasificación y metáfora de los signos

Numero de signos

Signo hallazgo y patrón

Resonancia magnética del feto

Terminos secretos de la patología

otras patologías del abdomen

Tumor benigno

Patología de abdomen

hipertensión pulmonar

Características del EPOC

Signos normales del corazón

Signo extrapleural

borramientos pulmonars

Atelectasia parte a

Sindrome de condensación pulmonar

ACV Hemorragico E Izquémico

Lo básico del acv

lesiones segundarias o axonales difusas

Preambulo de Trauma craneo encefálico

La clasificación de los hematomas

Parametros de las lesiones cerebrales

Patologías cerebrales causadas por golpes

Cuadro clínico del TCE

Parámetros de las patologías cerebrales

hematomas cerebrales

Fracturas ligamentarias

Patología craneocerebral

mediciones de la cadera

Fracturas metastásticas

Fractura Salter y harris

Densidades afectuosas del hueso

Cuadro sinóptico de las fractuas

tipos de fractura
Recommended for You
- All
- Anime